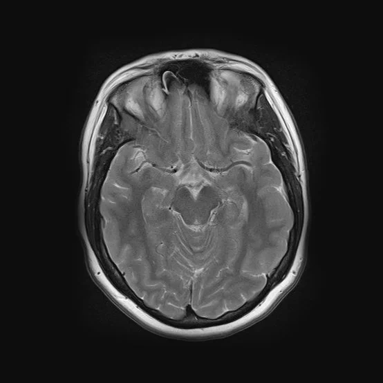
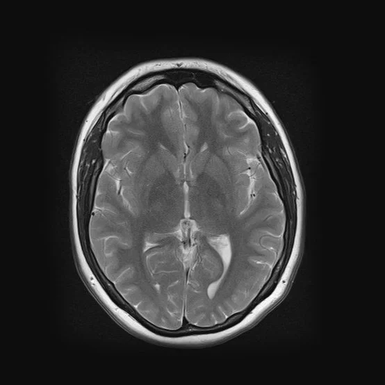
About this work:

A Mother’s Evolution explores identity as a central theme, examining both its internal and external dimensions. The work represents the intricate connection between body and mind, reflecting the profound transformation that occurs through motherhood.
Taking an autoethnographic approach, the artist used her own MRI scans, arranging them to create a visual narrative that mirrors an evolutionary progression. This method not only highlights the physical shifts of the maternal body but also serves as a metaphor for the psychological and emotional changes that redefine the self.
By layering medical imagery into a conceptual framework, the work challenges the notion of identity as static, instead presenting it as fluid, evolving, and deeply intertwined with the lived experience of motherhood.